審美歯科
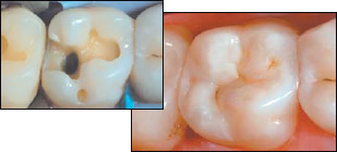
天然歯により近い性質のセラミック(e-MAX)を使用することにより、透明性・耐久性のある審美治療が可能となりました。また歯垢がつきにくく、変色などの劣化もありません。
専門の技工士との連携により、色調の確認や技工物の誤差をなくします。
また技工サイドでも最新の機材を使用しています
審美歯科料金表
治療回数2~4回 治療期間1ヶ月
被せもの
| オールセラミックス 12万円 | 金属を使わないことにより透明性が高く歯ぐきの変色もありません。 自然な色で前歯に適しています。
リスク⇒ 食いしばるなど強い力を与えると破損する場合があります。
|
|---|---|
| ジルコニア 15万円 | ジルコニアフレームの表面にセラミックをつけたもの。 金属を使用せずブリッジ治療が可能です。
リスク⇒ 金属単体の被せ物より若干歯の体積を削る量が多い場合があります。
|
詰め物
| ハイブリッドインレー 4.5万円 | セラミックにプラスチックを配合したもの。歯ぎしりの強い方などに適しています。
リスク⇒ 色が精密にでない場合があります。
|
|---|---|
| セラミックインレー 5万円 | セラミックの詰め物。自然な色がでます。
リスク⇒ 食いしばるなど強い力を与えると破損する場合があります。
|
| ジルコニアインレー 6万円 |
歯ぎしりが強くても破損しにくい。
リスク⇒ 天然歯が削れても擦り減らない場合がある。
|
ラミネートべニア
| セラミック 12万円 | 前歯をセラミックでカヴァーします。 変色歯や歯の形が気になる方に適しています。
リスク⇒ 被せにくらべて破損しやすい場合があります。
|
|---|
ダイレクトボンディング 3万~5万円
| グラディアダイレクトグラディアダイレクト(光重合型MFRハイブリッド超硬質レジン) | 天然歯に調和する多彩なカラーバリエーションによって、自然観あふれる美しさの再現を可能にしています。 また表面の色の変化が少なく、強靭なため従来の樹脂では出来なかった前歯の先端や奥歯の治療が可能となりました。
リスク⇒ チェアサイドで行うため欠損の大きい場合などは出来ない場合があります。 |
|---|
樹脂の変色や収縮によるズレの気になる方、前歯の隙間の改善などに!!
審美矯正
| 審美矯正(セラミック・ジルコニア本数分)予測模型 1.5万円 | 短期間で歯並びを直したい方など、当院ではセラミック治療による審美矯正を行います。 治療前後にどのような歯列・形になるかを予測するための模型を作製します。 |
|---|
理事長 鳥居 愛介(とりい あいすけ)
◆経歴◆
1997:愛知高校卒業
2003年:愛知学院大学歯学部卒業
2008.4.22:地元一色町にてあい歯科開院
2015.11.2:名古屋市昭和区にてあい歯科GOKISO開業
◆参加セミナー◆
GBR・ソケットリフトセミナー(名古屋)
CO2レーザーセミナー(名古屋)
審美修復・インプラントセミナー(東京)
*リッジエクスパンジョン法、結合組織移植術
CT画像処理セミナー(大阪)
JIADS再生療法認定コース(大阪)
*GTR・エムドゲイン認定コース
5-Djapanセミナー(東京)
*第1期ぺリオ・インプラントコース
