院内紹介
『 安心・安全・清潔 』な院内
待合室
患者様を癒しの空間でお迎えできるように、アロマの香りの落ち着いた雰囲気のナチョラルモダンな待合室になっております。
お子様も安心。待合室には2台のテレビを設置し、どちらか一方に常にアニメを流しております。中のモニターと連動させていますので、小さなお子様がそのまま診療室に入りやすいようにしました。
診療室
当院は一つ一つの扉から入るようにし、プラバシーを守るようにしています。
完全個室も完備しています。
設備
滅菌、消毒に力を入れてます。
当たり前ですが患者さんごとにグローブをかえています。
高圧蒸気滅菌器、超音波洗浄器、自動練和器等最新の設備を揃えています。
院内LAN
デジタルレントゲンシステム。
被爆量が従来のレントゲンより少なく、レントゲン後、お席に戻る頃にはお席の左上のモニターに映ります。患者様の情報をカルテコンピューターにより管理しております。
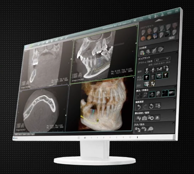
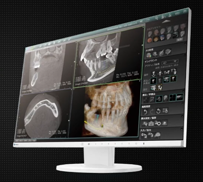
歯科用CT
当院ではCT診断装置を完備しております。
患者様にやさしく、 正確なポジショニングシステムで、高解像度撮影、精緻な画像診断を実現します。
