矯正歯科
矯正担当医(歯学博士)によるオーダーメイドの矯正
矯正担当医(歯学博士)によるオーダーメイドの矯正
既製のものでなく、一人ひとりのお顔に合わせてワイヤーを調整します。
審美性のみでなく噛み合わせや清掃性の向上など健康面にも配慮いたします。
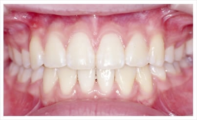
矯正による歯並びの改善
既製のものでなく、一人ひとりのお顔に合わせてワイヤーを調整します。
審美性のみでなく噛み合わせや清掃性の向上など健康面にも配慮いたします。
| 小児の矯正時期 |
治療期間3年(装置や歯列による)1か月に一度来院
※上下2番目の永久歯が生えたら~ (ただしケースによっては例外があるので矯正医と相談しましょう。) |
|---|---|
| 成人矯正 |
治療期間2~3年(部分矯正1年程度)1か月に一度来院、保定期間2年(後戻りしないよう観察する期間)
※小学校高学年~大人 |
矯正の流れ
審美性の高い装置
部分矯正
写真はむし歯で歯冠部がなくなってしまった歯、通常抜歯になりますが、
歯根の長さがある場合、矯正力により牽引し保存します。
料金
| 相談料:無料 |
|---|
| 診査・診断料5万円 |
| 部分矯正10万~25万円 |
| 小児矯正40万円 |
| 成人矯正80万円(小児から成人への移行はその差額分のみ) |
※結婚式などイベント時にご希望がある場合は装置を一度外します。
矯正担当医 松原 大樹(まつばら たいき)
◆経歴◆
平成 15年:愛知学院大学歯学部卒業
平成 15年:新潟大学歯学部矯正科入局
大学院卒業後、新潟大学にて勤務・研究
東京の矯正専門医で勤務後、地元岐阜県中津川市にてまつばら矯正歯科開業
日本矯正歯科学会発
「骨格性下顎前突症患者における口唇周囲組織の三次元解析」
その他、顎変形症学会誌に論文掲載など
矯正担当医 加藤 比奈子(かとう ひなこ)
◆経歴◆
2013・3 愛知学院大学歯学部卒業
2013・4 愛知学院大学歯学部付属病院総合診療科入局
2014・4 愛知学院大学附属病院歯科矯正学講座入局
診療案内
「むやみに歯を削らない・抜かない」治療
